TOPICS
-
新しい医局員が加わりました
-
アニマルラボトレーニングを開催しました
-
小田真理教授の退官記念講演が開催されました
-
反町隆俊教授の教授退官記念講演会が開催されました
-
初期研修医、学生向けに東海大学Neurosurgery Workshopを開催いたしました
-
新たに3名の教員が着任しました
-
脳神経外科の創設50周年を祝う会を開催しました
-
研修医・学生向けハンズオンセミナーを開催しました
-
第54回西湘脳神経外科懇話会を当院松前記念講堂2Fで開催
-
初期研修医向けに血管吻合と血管内治療のハンズオンセミナーを開催
-
野中准教授がジャカルタでskull base cadaveric courseに講師として参加いたしました
-
市民公開講座を開催しました
-
覚醒下手術の見学
ご挨拶
教授挨拶
脳神経外科 領域主任・診療科長
高橋 雅道
初代の佐藤修先生、第2代の津金隆一先生、第3代の松前光紀先生の後任として2024年4月1日に第4代領域主任教授として就任した高橋雅道と申します。
私は高校まで東京で過ごした後、2001年に新潟大学医学部を卒業し、桐野高明先生が主宰する東京大学脳神経外科教室に入局しました。脳神経外科全般の臨床研修を行う中で悪性脳腫瘍の患者さんに対する治療に強い意欲を持つようになり、齊藤延人先生が教授となった東京大学で2007年から大学院生として藤堂具紀先生のご指導を受けて脳腫瘍の基礎研究を行いました。2011年の卒業後はカリフォルニア大学ロサンゼルス校(UCLA)に3年間ポスドクとして留学して基礎研究を臨床試験に結び付ける仕事を続け、2014年に帰国して国立がん研究センター中央病院脳脊髄腫瘍科のスタッフとなり、その後約10年間に渡り成田善孝先生の下で悪性脳腫瘍の手術、基礎研究、新規治療開発に従事してまいりました。このたび創立以来50年の伝統を持つ東海大学医学部の脳神経外科教室を運営する機会を頂き、大変光栄に思うとともにその責任の重さを強く感じております。
脳神経外科は近年細分化が進み、当院では脳血管障害、脳腫瘍、頭部外傷、機能的脳神経外科、脊髄外科を中心に幅広い領域において診療を行っています。特に緊急の対応が必要な疾患に対しても十分に対応できるよう、24時間365日患者さんを受け入れられる態勢を整えています。一方で、十分な準備を行い各領域のエキスパートによる最先端の治療を提供しており、全国でも有数の手術件数を有しています。当科の方針としては、医局員がそのような多忙な中であっても、看護師や薬剤師といった多職種と協同して患者さん一人一人に対する全人的な医療を提供する「良医」であるために、自身の生活、愛する家族との時間を最優先にすることを重視しています。その上で国内、国外の最先端の医療を学び、手術・治療の研鑽を積み、医学の発展のために研究を行う事で高いレベルの科学と深い人間性を合わせ持つ医師を育て、患者さんに最高水準の治療を提供し続けていきます。皆様のご指導、ご支援をどうぞよろしくお願い致します。
脳神経外科 領域主任・診療科長
高橋 雅道
診療内容
脳神経外科では、脳疾患に対する高度専門的外科治療を提供しています。緊急を要するくも膜下出血、脳出血、脳梗塞などの脳血管障害や、交通事故などの外傷についても24時間対応できる体制を整えています。一人一人の患者さんに、開頭術と血管内治療の両方について専門医が最適な治療を検討し実施しています。脳腫瘍についてはナビゲーションシステムや術中MRI室をはじめ最新の機器を備え難易度の高い腫瘍に対しても安全で精確な外科的治療を提供しています。外来ではあらゆる脳神経外科疾患について専門医が担当し、近辺、遠方問わず医療機関からのご紹介を広く受け入れています。紹介状に記載された要望に基づいて最適な対応を行い、速やかに結果をご報告しています。また、医学の発展を担う先進機関として全国の大学病院、医療機関と連携した臨床研究も行い、また複数の企業治験、医師主導治験にも参加して新規治療の開発に取り組んでいます。
主な対象疾患
1.脳血管障害
脳血管障害の手術は開頭手術とカテーテルによる血管内手術があります。東海大学では、それぞれの治療の専門家が合議の上で個々の患者さんに最適な治療(テーラーメイド治療)を提供しています。また、脳神経内科と協力し急性期脳梗塞のカテーテル手術も24時間体制で行っています。脳血管の病気でお困りのことがあれば、何でもご相談下さい。
2.脳腫瘍
当院は全国の大学病院の中でも最も早い時期から術中MRIを撮像できる手術室を備え、ナビゲーションシステムや脳機能モニタリングなどを駆使して最大限の腫瘍摘出を行っています。悪性脳腫瘍の患者さんの治療においては「患者さんの神経所見を悪化させずに最大限腫瘍を摘出」しています。術後は放射線治療、化学療法を用いた集学的治療を行っています。特に、当院は全国でも数少ない「がんゲノム医療拠点病院」であり、独自にエキスパートパネルを開催できる施設です。手術で摘出した腫瘍細胞の遺伝子解析を速やかに行い、個々の患者さんに最適な新規治療薬を探索し、最先端のがんゲノム医療を提供しています。未承認の新薬についての情報も早期に届くため、他院で手術を受けた方でもまずは当院の脳腫瘍専門医にご相談ください。また、良性脳腫瘍については当院では高度の手術技術を持つ専門医が執刀し、手術による完治を目指すと同時に患者さんの機能予後を重視して最適な治療を提供しています。2017年7月から2024年7月の7年間で286症例と多数の頭蓋底腫瘍の手術を行ってきています。術中モニタリングシステムやナビゲーションシステムを用いることで安全性と確実性を高めた手術を追求しています。頭蓋底腫瘍だけでなく脳幹などの脳深部腫瘍、眼窩内腫瘍、頚部腫瘍など広く対応していますので、他院で手術を断られた方であってもまずはお気軽にご相談ください。
3.頭部外傷
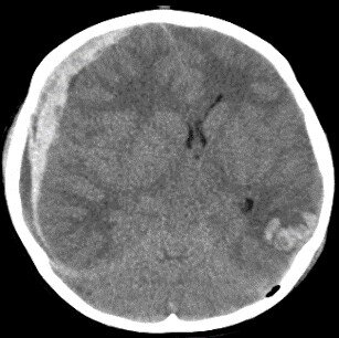
当院は3次救急に対応しており、神奈川県ドクターヘリの基地病院です。そのため、多くの頭部外傷の患者さんを受け入れています。救命救急科と連携して速やかな治療を提供しており、特に頭部単独外傷の場合には手術室搬入までの時間を30分以内とするよう心がけて日々努力しています。(画像は急性硬膜下血腫・脳挫傷・気脳症の患者の頭部CT)
4.三叉神経痛・顔面けいれん
顔面けいれんと三叉神経痛は、それぞれ顔面神経、三叉神経が脳幹近傍で自身の脳血管により圧迫されることで生じる疾患です。薬物療法にて改善しない場合や、日常生活に支障をきたす場合などは外科的治療の適応となります。手術は脳の深部(脳幹近傍)に到達する難易度の高い手術のため、豊富な経験と高度の手術技術を持つ専門医により行われます。また、三叉神経痛の急性増悪時に使用できる新しい薬剤の開発を目的とした臨床試験も行っています。
5.機能的脳神経外科
パーキンソン病は、主に脳神経内科が様々な薬剤の調整を行い日常生活の障害とならないように治療を担当する疾患ですが、徐々に薬物療法に抵抗性になることが知られています。そのような患者さんに対しては手術(脳深部刺激療法)が行われます。当科では脳神経内科と緊密に連携して診療にあたっています。
6.脊髄・脊椎外科
脊髄(脳、脳幹とつながる神経)は脊椎(首から腰にかけてのいわゆる背骨)に守られており、脊椎の変形や位置のずれなどにより圧迫を受けます。また脊髄は腫瘍によっても圧迫を受けることがあります。当科ではそのような神経の圧迫により痛みやしびれ、運動麻痺が出現した患者さんに対して顕微鏡を用いた精細な手術を行い、症状の改善を図っています。
主な診療実績
当科で行われた2025年の手術件数は609件で、全国の大学病院でも有数の手術件数を有しています。脳腫瘍161件、血管障害219件、頭部外傷95件、脊椎脊髄手術3件、その他131件です。通常の診療活動は24時間、365日休むことなく行っており、救急患者の受け入れ態勢が整っていることも当科の特徴です。頭部単独外傷の場合、手術搬入まで30分を心掛け、迅速な対応を目指し日々努力しています。
また、医学の発展のため臨床研究も行っており2023年は新規に5件の臨床研究が倫理委員会の承認を受けて開始されています。
図1.2016年から2025年の脳神経外科の手術件数の推移
医師一覧
診療科長:高橋 雅道
外来:0463(93)1121
高橋 雅道(たかはし まさみち)教授
| 専門分野 | 脳腫瘍 |
|---|---|
| 専門医 | 日本脳神経外科学会専門医/日本神経内視鏡学会技術認定医/日本がん治療認定医 |
| 特に専門とする領域 | 脳腫瘍の手術治療、化学療法 |
| 外来診療日 | 水曜日 |
野中 洋一(のなか よういち)准教授
| 専門分野 | 脳腫瘍、頭蓋底手術 |
|---|---|
| 専門医 | 日本脳神経外科学会専門医/日本聴神経腫瘍研究会認定医 |
| 特に専門とする領域 | 脳腫瘍の手術治療、頭蓋底腫瘍の手術治療、片側顔面けいれんおよび三叉神経痛に対する手術治療 |
| 外来診療日 | 木曜日 |
長田 貴洋(おさだ たかひろ)講師
| 専門分野 | 脳血管障害 |
|---|---|
| 専門医 | 日本脳神経外科学会専門医/日本脳神経血管内治療学会専門医/日本脳卒中学会専門医/日本脳卒中外科学会技術指導医・技術認定医/日本頭痛学会専門医 |
| 特に専門とする領域 | 脳血管障害の手術、脳血管内治療 |
| 外来診療日 | 金曜日 |
重松 秀明(しげまつ ひであき)講師
| 専門分野 | 脳血管障害 |
|---|---|
| 専門医 | 日本脳神経外科学会専門医/日本脳神経血管内治療学会指導医/日本脳卒中の外科学会技術認定医/日本脳神経外傷学会指導医 |
| 特に専門とする領域 | 脳血管内治療 |
| 外来診療日 | 水曜日 |
平山 晃大(ひらやま あきひろ)講師
| 専門分野 | 脳血管障害 |
|---|---|
| 専門医 | 日本脳神経外科学会専門医/日本脳神経血管内治療学会指導医/日本脳卒中の外科学会技術認定医 |
| 特に専門とする領域 | 脳血管障害の手術、脳血管内治療 |
| 外来診療日 | 月曜日 |
野末 恭子(のずえ きょうこ)助教
| 専門分野 | 脳神経外科一般 |
|---|---|
| 専門医 | 日本脳神経外科学会専門医 |
| 特に専門とする領域 | 脳神経外科一般 |
| 外来診療日 | 金曜日 |
堀田 和子(ほった かずこ)助教
| 専門分野 | 救急、頭部外傷 |
|---|---|
| 専門医 | 日本脳神経外科学会専門医/日本脳卒中学会専門医/日本集中治療学会専門医/日本脳神経外傷学会指導医/日本外傷学会専門医・評議員 |
| 特に専門とする領域 | 脳神経外科救急、脳神経外科外傷 |
| 外来診療日 | 木曜日 |
菊池 美佑(きくち みゆ)助教
| 専門分野 | 脳神経外科一般 |
|---|---|
| 専門医 | 日本脳神経外科学会専門医 |
| 特に専門とする領域 | 脳腫瘍の手術治療、化学療法 |
| 外来診療日 | 月曜日 |
須永 梓(すなが あずさ)助教
| 専門分野 | 脳神経外科一般 |
|---|---|
| 専門医 | 日本脳神経外科学会専門医/日本脳神経血管内治療学会専門医 |
| 特に専門とする領域 | 脳血管障害の手術、脳血管内治療 |
| 外来診療日 | 金曜日 |
米持 拓也(よねもち たくや)助教
| 専門分野 | 脳神経外科一般 |
|---|---|
| 専門医 | 日本脳神経外科学会専門医/日本脳神経血管内治療学会専門医 |
| 特に専門とする領域 | 脳血管障害の手術、脳血管内治療 |
| 外来診療日 | 火曜日 |
横山 貴大(よこやま たかひろ)助教
| 専門分野 | 脳神経外科一般 |
|---|---|
| 専門医 | 脳神経外科学会専門医 |
| 特に専門とする領域 | 脳神経外科一般 |
| 外来診療日 | 火曜日 |
家島 大輔(いえじま だいすけ)特任助教
| 専門分野 | 基礎研究 |
|---|---|
| 特に専門とする領域 | 遺伝子解析、再生医療 |
翟 博文(てき はくぶん)特任助教
| 専門分野 | 基礎研究 |
|---|---|
| 特に専門とする領域 | 動脈瘤、動物実験 |
篠原 千昌(しのはら ちあき)専攻医
| 専門分野 | 脳神経外科一般 |
|---|---|
| 特に専門とする領域 | 脳神経外科一般 |
新川 誠人(にいかわ まこと)専攻医
| 専門分野 | 脳神経外科一般 |
|---|---|
| 特に専門とする領域 | 脳神経外科一般 |
プーチ アンジェリーナ(ぷーち あんじぇりーな)専攻医
| 専門分野 | 脳神経外科一般 |
|---|---|
| 特に専門とする領域 | 脳神経外科一般 |
箕輪 亮祐(みのわ りょうすけ)専攻医
| 専門分野 | 脳神経外科一般 |
|---|---|
| 特に専門とする領域 | 脳神経外科一般 |
馬場 胤典(ばば たねふみ)非常勤医師
| 専門分野 | 下垂体腫瘍 |
|---|---|
| 専門医 | 日本脳神経外科学会専門医/日本神経内視鏡学会技術認定医/日本内分泌学会専門医/日本定位・機能神経外科学会技術認定医/日本小児神経外科学会認定医/脊髄外科技術認定医/日本頭痛学会専門医/日本脳卒中学会専門医 |
| 特に専門とする領域 | 下垂体の手術治療 |
| 外来診療日 | 火曜日 |
西山 淳(にしやま じゅん)非常勤医師
| 専門分野 | 脳腫瘍 |
|---|---|
| 専門医 | 日本脳神経外科学会専門医/日本脳卒中学会専門医/日本頭痛学会専門医/日本がん治療認定医/日本認知症学会専門医/その他 |
| 特に専門とする領域 | 脳腫瘍の手術治療、化学療法 |
| 外来診療日 | 水曜日 |
