ご挨拶
画像診断科は臨床各科の担当医師からのオーダーを受けて、単純X線検査、消化管造影、CT、MRI、核医学検査、血管造影といった画像検査の全般を実施し、検査結果を報告書として臨床医に返すことを主な業務としています。血管造影や核医学の手法を用いた治療も行っています。新しい撮影機器や画像解析装置を駆使して頭から足までの全身の疾患を診断することが業務となり、専門性の高いトレーニングを受けた画像診断医がこれらの新技術の利点を最大限に引き出して診療を行うことが求められています。患者さんと接することはあまりありませんが、見えないところで働くいわば“縁の下の力持ち”といった役割を担っています。
画像診断科 診療科長
橋本 順
診療内容
画像診断科では、院内の全ての科の患者様を対象とした画像診断を受け持っています。診療は単純写真、消化管造影検査、CT、MRI、血管造影、核医学に大別されます。CTは5台、MRIは6台で、毎日多数の検査を行っています。待ち時間を少なくするため原則として予約制をとっていますが、緊急検査にも対応していますので、即日の検査、診断が可能です。また、緊急血管造影にも対応しています。
画像診断医は各科からの検査依頼により、主治医と協力して画像診断を行います。また、各専門領域ごとに定期的に各科とのカンファレンスを持ち、治療方針の決定に関与しています。
当院における画像診断科の特徴として、画像診断部門の中央化、完全フィルムレス化とトランスクライバーによる報告書の作成が挙げられます。これは診療の質と効率の向上に不可欠なものです。
主な対象疾患
心臓のCT・MRI
近年画像診断装置の開発は著しく、心臓のような拍動している臓器でもCTやMRIにて鮮明な画像を撮ることができるようになりました。 当院では最新の128列デュアルソースCTを用いて冠動脈CT検査(CT coronary angiography: CTCA) を行っています。ヨード造影剤を静注しながら心電図同期下に撮影を行い、ある同一心時相の画像を再構成し静止画像として描出し評価します。128列デュアルソースCTでは、冠動脈のような拍動する細い血管でも高精細な画像が得られるため、冠動脈造影との比較でも高い診断能を有しています。狭窄有無の評価のほか、動脈硬化によるプラークの性状評価もCT値から予測することも可能です。実際の撮影は呼吸停止10秒以下で冠動脈全体の範囲が撮影でき、検査の準備も含め15分前後で検査が終了します。外来の通常検査枠で行っていますが、医療連携室を介して直接近隣の医療施設からの紹介でも検査可能です。
また最新鋭の装置を用いて心臓MRI検査も行っています。全体の撮影自体は40分から1 時間とやや長いですが、1 回の検査で心臓の形態評価、心機能評価、心筋性状の評価が行えます。心筋梗塞の患者では心筋梗塞の範囲が描出できるため、心筋のバイアビリティの診断も可能です。そのほか、心筋症、心筋炎などさまざまな疾患の診断が可能で、心不全の原因評価、治療効果の評価などにも用いています。また造影剤を用いずに冠動脈を撮影する方法もあり、喘息や腎不全など造影剤が使用できない患者さんに有用です。
血管造影、IVR
血管造影・X線透視装置を中心に、超音波断層装置や世界初となるMRXO(MRI、血管造影、手術室一体型)システムを駆使した画像下での、カテーテルや高周波、レーザーなどを使用した血管内治療や気管、胆道の治療が中心となります。具体的には、原発性肝癌(消化器内科と共同)を中心とした癌への化学塞栓療法、転移性肝癌や子宮癌などへの動注化学療法のためのリザーバーシステム埋め込み(一般外科と共同)、閉塞性動脈硬化症や腎血管性高血圧、透析シャントなどに対する血管形成術(心臓血管外科や腎センターと共同)や大動脈瘤に対するステントグラフト治療(写真)、胃静脈癌に対する硬化療法、門脈圧亢進症による静脈瘤・肝性脳症に対する塞栓術や胆道ステント(消化器内科と共同)、喀血に対する塞栓術や気管・気管支ステント(呼吸器内科と共同)、外傷(肝、脾、腎、骨盤骨折、腸間膜損傷など)に対する塞栓術(高度救命救急センターと共同)、などが主な治療となります。
主な診療実績
CT coronary ngiography
正常の左右冠動脈
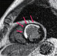
Cardiac MRI
遅延造影MRIによる心筋梗塞の診断
左室短軸画像、前壁中隔梗塞
治療前腹部大動脈三次元CT
ステントグラフト治療後三次元CT
医師一覧
診療科長:橋本 順
橋本 順(はしもと じゅん)教授
| 専門分野 | 画像診断全般 |
|---|---|
| 専門医 | 日本医学放射線学会診断専門医/日本核医学会専門医/日本核医学会PET核医学認定医 |
| 特に専門とする領域 | 心臓核医学、脳核医学、心臓CT、心臓MRI |
丹羽 徹(にわ てつ)教授
| 専門分野 | 画像診断全般 |
|---|---|
| 専門医 | 日本医学放射線学会診断専門医/日本核医学会専門医/日本血管造影・IVR学会専門医 |
| 特に専門とする領域 | 小児疾患 |
風間 俊基(かざま としき)准教授
| 専門分野 | 画像診断全般 |
|---|---|
| 専門医 | 日本医学放射線学会診断専門医/日本核医学会専門医/日本核医学会PET核医学認定医/検診マンモグラフィ読影認定医 |
| 特に専門とする領域 | 乳腺、PET |
柳町 徳春(やなぎまち のりはる)講師
| 専門分野 | 画像診断全般 |
|---|---|
| 専門医 | 日本医学放射線学会診断専門医 |
| 特に専門とする領域 | 脳脊髄の画像診断 |
遠藤じゅん(えんどう じゅん)講師
| 専門分野 | 画像診断全般 |
|---|---|
| 専門医 | 日本医学放射線学会診断専門医 |
| 特に専門とする領域 | 腹部骨盤、外傷の画像診断 |
小林真紀子(こばやし まきこ)助教
| 専門分野 | 画像診断全般 |
|---|---|
| 専門医 | 日本医学放射線学会診断専門医 |
| 特に専門とする領域 | 腹部骨盤の画像診断 |
関口 達也(せきぐち たつや)助教
| 専門分野 | 画像診断全般 |
|---|---|
| 専門医 | 日本医学放射線学会診断専門医/日本血管造影・IVR学会専門医 |
| 特に専門とする領域 | 救急画像診断・IVR |
岡崎 隆(おかざき たかし)助教
| 専門分野 | 画像診断全般 |
|---|---|
| 専門医 | 日本医学放射線学会診断専門医 |
| 特に専門とする領域 | 脳脊髄の画像診断、核医学 |
小野 隼(おの しゅん)助教
| 専門分野 | 画像診断全般 |
|---|---|
| 専門医 | 日本医学放射線学会診断専門医 |
| 特に専門とする領域 | IVR |
永藤 唯(ながふじ ゆい)助教
| 専門分野 | 画像診断全般 |
|---|---|
| 専門医 | 日本医学放射線学会診断専門医 |
| 特に専門とする領域 | 婦人科領域の画像診断 |
関口 由佳(せきぐち ゆか)助教
| 専門分野 | 画像診断全般 |
|---|---|
| 専門医 | 日本医学放射線学会診断専門医 |
| 特に専門とする領域 | IVR、核医学 |
横山 健人(よこやま けんと)助教
| 専門分野 | 画像診断全般 |
|---|---|
| 特に専門とする領域 | IVR |
キタロウ イルワン(きたろう いるわん)助教
| 専門分野 | 画像診断全般 |
|---|---|
| 特に専門とする領域 | 核医学、腹部・骨盤の画像診断 |
